

Welcome to BridgeFly Healthcare!
Affordable and Accessible Healthcare for the People of Indore...!
BridgeFly Healthcare is your one-stop FREE booking online medical platform. Our mission is clear; to provide high-quality & authentic healthcare at the best price for everyone.
Experience a new era of convenient and affordable medical care with BridgeFly Healthcare...
Your health is our priority!


Book OPD Appointment with Indore's Best Doctors
BooK online consultation via app
Lab tests at minimum Price and Home based Blood Sample Collection without extra charges
Book MRI /CT/USG Online at Minimum Price
Doctor's Column
Artical of the week
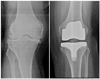
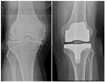
Total Knee Replacment
Comprehensive Healthcare Services
Explore advanced medical solutions tailored for patients across various specialties in India.
Expert consultation
Offering general to advance surgeries and specialized procedures with experienced medical professionals.


Pathology Diagnostics Available
Accurate testing and analysis for precise medical insights and treatment plans.
Offering general to advance surgeries and specialized procedures with experienced medical professionals.
Expert Surgical Care
Gallery
Explore our advanced healthcare solutions and exceptional medical services.










Laparoscopic surgery
Removal of Ovarian cyst
Gall Bladder removal by Lap
X-Ray before-after in knee replacement
Patient Feedback
Discover what our patients say about their healthcare experiences with us.
Bridgefly Healthcare provided exceptional care during my surgery. Highly recommend!
Rajesh Kumar
Mumbai, India
The staff at Bridgefly Healthcare were incredibly supportive and professional. My recovery was smooth, thanks to their dedicated care and expertise in handling my condition.
Anita Sharma
Delhi, India























